Composite Bonding for your teeth
Are you unhappy with the look of your teeth? Are your teeth worn or chipped? Do you have previous fillings on your front teeth that are chipped and/or stained? You could be a candidate for dental bonding.
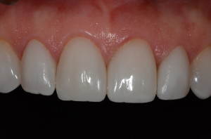
Tooth-coloured filling material, also known as composite, is used to fill cavities, repair chips or cracks, close gaps between teeth, and build up any worn-down edges of teeth. Dental bonding is more cost effective than veneers and there is little to no tooth reduction with this technique. While veneers typically last longer than dental bonding, bonding is a great option for cosmetic dentistry. Some of Dr. Seddon and Dr. Dhillon’s patients who have undergone dental bonding have used this technique as a “trial smile” and ended up opting for veneers shortly after.


